
Veneers sind hauchdünne Verblendschalen aus Keramik, die in einem aufwendigen Verfahren auf den Zahnoberflächen befestigt werden. Sie sind, wenn man so will, wie eine neue "Fassade" für die Zähne.
Die Form und Farbe von Veneers kann für jeden Patienten individuell nach dessen Wünschen gestaltet werden. Dadurch sind ästhetisch perfekte Ergebnisse möglich: Zähne mit Veneers wirken absolut natürlich. Niemand sieht, dass hier dem guten Aussehen "nachgeholfen" wurde.
Wann sind Veneers die beste Lösung?
- wenn Zähne unregelmäßig stehen
- bei kleinen Lücken zwischen den Zähnen
- bei stark fleckigen Zähnen
- wenn Zähne von Natur aus missgebildet sind
- bei stark abgenutzten oder abgebrochenen Zähnen
- wenn Zähne so stark gefüllt sind, dass sie mit Füllungen nicht mehr stabil aufgebaut werden können
In allen diesen Fällen können mit Veneers ästhetische und ansprechende neue Zähne gestaltet werden. Sie haben eine lange Haltbarkeit, verfärben sich nicht und schonen das Zahnfleisch. Wenn Sie Wert auf natürlich schön aussehende Zähne legen, sind Veneers die richtige Lösung für Sie!
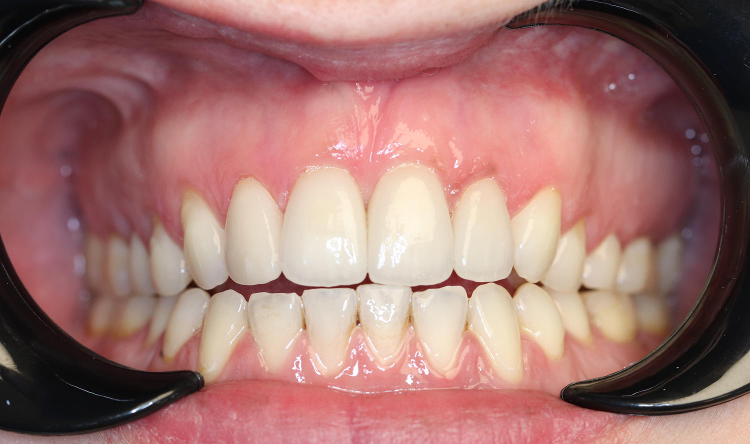
Fallbeispiel:
Veneers eignen sich perfekt für Menschen deren Zähne sich verfärbt haben, abgenutzt sind oder Lücken aufweisen. Bei unserem aktuellen Behandlungsfall ist eindrucksvoll erkennbar wie vielseitig die technischen Möglichkeiten sind. Veneers sind handgefertigte Unikate, die sich funktionell und optisch perfekt und natürlich in ihr Lächeln einfügen.
Vorher:

Nachher:
Da sie hauchdünn sind, muss für Veneers nur sehr wenig von der Zahnoberfläche abgeschliffen werden. Manchmal sogar gar nichts! Die Behandlung ist deshalb schonend und weitgehend schmerzfrei.
Obwohl Veneers so grazil sind, können sie sehr lange halten: Nach unserer Erfahrung 20 Jahre und länger! Veneers sind nicht nur für die Zähne schonend, sondern auch für das Zahnfleisch: Sie laufen zum Zahnfleischrand hin ganz dünn aus und reizen es daher nicht. Man sieht auch keinen Übergang vom Veneer zum Zahn, da beide dieselbe Farbe haben.
Übrigens ... Veneers wurden tatsächlich in Hollywood erfunden! Der amerikanische Zahnarzt Charles Pincus hat um 1937 der damals noch relativ unbekannten Schauspielerin Norma Jean Baker damit das Lächeln verschönert. Später wurde sie als Marilyn Monroe weltberühmt.
Krischerstraße 87
40789 Monheim am Rhein
Parkmöglichkeiten finden Sie im Parkhaus hinter dem Hey Lou Hotel, Rheinpromenade 2 in Monheim.
07:00 - 20:00
07:00 - 20:00
07:00 - 20:00
07:00 - 20:00
07:00 - 14:00





